Call Today:

(607)-753-7528

Office Hours:

Monday-Thursday: 8am–6pm

Friday: 8am–Noon

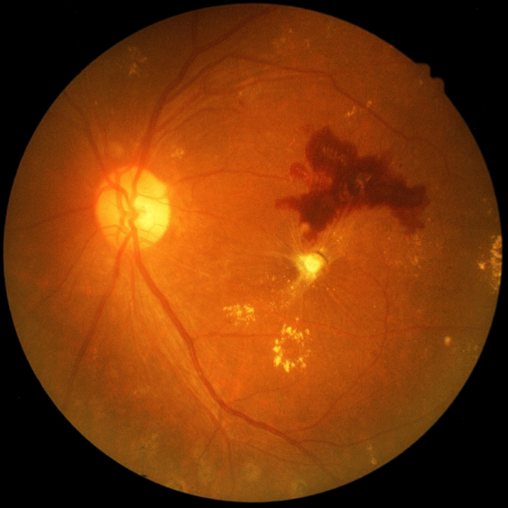
Diabetic Retinopathy

Jacqueline Fergerson, M.D. 

What is Diabetic Retinopathy?

Diabetic retinopathy is a potentially blinding complication of diabetes that damages the eye's retina. It affects half of all Americans diagnosed with diabetes.

 

At first, you may notice no changes in your vision. But don't let diabetic retinopathy fool you. It could get worse over the years and threaten your good vision. With timely treatment, 90 percent of those with advanced diabetic retinopathy can be saved from going blind.

 

The National Eye Institute (NEI) is the Federal government's lead agency for vision research. The NEI urges everyone with diabetes to have an eye examination through dilated pupils at least once a year.

What is the retina?
The retina is a light-sensitive tissue at the back of the eye. When light enters the eye, the retina changes the light into nerve signals. The retina then sends these signals along the optic nerve to the brain. Without a retina, the eye cannot communicate with the brain, making vision impossible.

How does diabetic retinopathy damage the retina?
Diabetic retinopathy occurs when diabetes damages the tiny blood vessels in the retina. At this point, most people do not notice any changes in their vision.

 

Some people develop a condition called macular edema. It occurs when the damaged blood vessels leak fluid and lipids onto the macula, the part of the retina that lets us see detail. The fluid makes the macula swell, blurring vision.

 

As the disease progresses, it enters its advanced, or proliferative, stage. Fragile new blood vessels grow along the retina and in the clear, gel-like vitreous that fills the inside of the eye. Without timely treatment, these new blood vessels can bleed, cloud vision, and destroy the retina.

Who is at risk for this disease?

All people with diabetes are at risk-those with type 1 diabetes and those with type 2 diabetes. During pregnancy, diabetic retinopathy may also be a problem for women with diabetes. It is recommended that all pregnant women with diabetes have dilated eye examinations each trimester to protect their vision.

What are its symptoms?
Diabetic retinopathy often has no early warning signs. At some point, though, you may have macular edema. It blurs vision, making it hard to do things like read and drive. In some cases, your vision will get better or worse during the day.

As new blood vessels form at the back of the eye, they can bleed (hemorrhage) and blur vision. The first time this happens, it may not be very severe. In most cases, it will leave just a few specks of blood, or spots, floating in your vision. They often go away after a few hours.

 

These spots are often followed within a few days or weeks by a much greater leakage of blood. The blood will blur your vision. In extreme cases a person will only be able to tell light from dark in that eye. It may take the blood anywhere from a few days to months or even years to clear from inside of your eye. In some cases, the blood will not clear. You should be aware that large hemorrhages tend to happen more than once, often during sleep.

 

How is it detected?
Diabetic retinopathy is detected during a dilated comprehensive eye examination.